Patient Login Request a Complimentary Consultation

Dr. Yang offers first-rate, efficient orthodontic services. We have been very pleased with the professionalism and efficiency of this orthodontic team!

I appreciate Dr. Yang’s efforts to get to know the kids and their families.

-  Kathy V.

Friendly atmosphere and GREAT treatment. Sally is wonderful! I have never had a bad experience in the office. Nancy is wonderful part of the dental team as well. Always very helpful and fully explains billing issues. VERY convenient.

Located between home and daughters school. Can't get better than that. I would highly recommend your office for care. We are very happy and feel we received the utmost quality care. The treatment, treatment plan and payment plan have all been very smooth and easy to understand. Office is close to home and my daughters school making appointments easy. Sally is always very accommodating with my daughter’s busy schedule. Braces are never fun, but the office has made it fun for my daughter.

-  Jessica B.

Amazing ortho! Dr. Yang definitely knows his stuff and the assistants are great at what they are doing.

-  Erica J.

Everything has been great thus far. It is my son's first time with braces, and Dr. Yang and his staff have made him feel comfortable about it. Everyone has been great. He has had some issues with discomfort and some wires that were irritating him. The office and staff worked with us right away to make sure his comfort level was taken care of. I couldn't see us going anywhere else to have his teeth done. We were recommended to Dr. Yang’s office by our dentist, and it couldn't have been a better fit. Great guy and great with my son.

-  Scott S.

The doctor and staff are very knowledgeable and professional. I especially like the staff! =) Sally has always been very helpful when I call and leave questions on the machine. Calling me back on your day off to respond is really appreciated.

The staff, when I messed up on my appointment time, were all very gracious and did their very best to fit me in. Even if it meant being late for lunch. Thank you! I like the cell phone, e-mail and text notifications. It really helps someone who gets busy and distracted – like me. My experience has been very good. I know I am getting the best care! Thank you!

-  Jenifer S.

I have been going to the office so long the people there feel like family. I enjoy going and seeing the decorations for all the special occasions. It makes me feel young again. I know I’m a difficult case, and I applaud Dr Yang's patience. I am very happy with the care and attentiveness I have been given as an adult orthodontic patient. I was an especially difficult case, and the office pointed me to the right people to help me with my treatment when it fell outside of their expertise. I would strongly recommend this office to any adult or teen patient. Dr. Yang has great patience and seems to move things along at a rapid pace.

-  Tom W.

Everyone is very friendly and helpful! Dr. Yang is very good at explaining what is going on. Sally is always extra cheerful and sweet. Thanks Sally!

-  Jessica I.

We don't have to wait long, the appointments are usually pretty quick, and I do get informed if it will take longer. Everyone is very friendly and seems to be very caring. My daughter just got new springs put in, and on the second day in the later part of the afternoon she was complaining that she was in some discomfort. I called Sally at 4:45, and she said to bring my daughter over. Once we got there, they took her right in. When Dr. Yang talked to Maggie, he was so nice and so calming that I think the fact the she saw the confidence in Dr. Yang that nothing was wrong, it seemed to relax her. It has been six days since that occurrence, and she is still fine. Dr. Yang is super nice and very smart!

-  Joanna P.

Friendly, professional atmosphere. Dr. Yang is excellent at explaining proposed treatment and expected outcomes. He provides adequate time for dialogue and questions and have a very reassuring manner.

-  George B.

Sally goes above and beyond. She responds to messages quickly, and if appointments are missed or need rescheduling, she calls! Thank you Sally. I would recommend this office to friends and family. Have not had one bad experience. Staff and doctors are caring and sincere. It really seems like Dr. Yang enjoys his job, organizing different events for patients outside the office.

-  Kate

Ann was great with my 9-year-old daughter: very patient and nice to her and really eased her fears. Also, love Sally! She is always so friendly and helpful. My older daughter went to Yang Orthodontics for many years and just got her braces off last year. We are now starting treatment with our 9-year-old. We have always been very satisfied, and our older daughter’s teeth turned out beautiful! Dr. Yang seems very nice and patient and really seems to know his stuff.

-  Maureen F.

Sally has been a lifesaver. She has been very understanding when I have needed to cancel and reschedule appointments. She is also great about getting back to me in timely manner when I call the office with a question. Nancy has also been great in answering questions I have about billing and insurance. She also set me up for auto-payments in just a few minutes, which was a lifesaver. My children are comfortable going to the office as the assistants are friendly and do their best to explain to them what is happening with their treatment. I am very satisfied with the quality of both my children's treatment. We are very satisfied with our experience at Dr. Yang's office. The staff is extremely friendly and competent. We find that they will go the extra mile to accommodate us and make sure our questions are answered. Dr. Yang does a great job of explaining what is currently happening with the treatment and what we should expect in the next visit and further out in the future. No surprises.

-  Patricia S..

You're always on time and seem to be familiar with my condition even if I haven't seen you in a long time. Obviously you do your homework before I arrive! Sally is totally organized and always able to find the right appointment that fits my schedule. She is very professional.

-  Stephen J.

Sally and the assistants are so nice and understanding with my children. They take their time with everyone. Aiden is wonderful! She is so very patient and kind with my daughter. Can't thank her enough for everything.

-  Carol F.

Thanks again for a very fun day in the park with the staff and Dr. Yang. It was very generous to give away the prizes and a fun experience for everyone. The food was great. Thanks so much for buying Girl Scout cookies. It was very nice of your staff to support the Girl Scout program. Dr. Yang is very friendly and skilled.

-  Shannan D.

Dr. Yang has done a great job stepping in to such a long and well-established practice. I am very grateful for [Dr. Yang’s] excellent care of both my son and myself. He gave me the courage to attempt Invisalign orthodontia as an adult, and worked with me tirelessly to correct the problems that I had. He was so honest and professional with me, not always telling me what I wanted to hear, but always telling me the truth and treating me with respect and care. He is a phenomenal doctor and human being! I am so pleased he brought someone with very similar qualities into the practice. It is in good hands.

-  Elaine M.

Doctors and staff are very friendly and professional, and I really enjoy the seasonal decorations. Whoever does your decorating does a great job. I also like that we can now communicate via e-mail. I'd like to thank Sally. She always has a friendly smile, a kind word and helpful manner. Since I was an adult (age 48) when I first consulted Dr. Yang, and I am now 65, I have always been treated well. I must admit, however, that in the beginning I was a little uncomfortable being in the same treatment room with teenagers, but not anymore. I especially enjoyed being there one day when a young patient got her braces off. She was all smiles.

-  Carol C.

Your office staff ROCKS! Sally, Nancy and Ann, all three of you have always been kind, knowledgeable and professional. Thanks for all that you have done for our family over the many years (16?). For many years, my two daughters and myself have used the services of your office. The doctors and staff have always been professional, giving excellent service with the utmost care. I would strongly recommend anyone needing orthodontic care to seek it at your office!

-  Margaret M.

Always a great place. Everyone's always so helpful!

-  Rodine P.

Organized, professional, competent. Offers compassionate, personalized care. Kids love the games; we like the Wi-Fi.

-  Liam D.

I really appreciate how nice Sally is. She never tries to rush us out the door, and she is always in a good mood. I feel like my son is getting the best possible treatment. My son likes Dr. Yang a lot. Dr. Yang doesn't patronize my son because he is 10. He talks to him the way he would talk to an adult. I appreciate that. So many times, doctors who work with children tend to talk down to them and don't realize a 10-year-old is not a 4-year-old. I know my son appreciates it too.

-  Michelle F.

Very friendly and professional staff. Thanks to Sally for always being so extremely nice and helpful. She always takes the time to chat with us and that shows us that she cares. We feel that even if it's really busy in the office, she never seems rushed or stressed. We are very happy with the care! Our daughter has been a patient for many years, and we are very happy with the care from all the staff. Never had any issues or complaints! Thanks to all the staff for a great job caring for our daughter! We felt it was really nice and helpful to our daughter that Dr. Yang took the time to have her come for an appointment the day before her jaw surgery.

-  Kristina S.

I really appreciate how nice Sally is. She never tries to rush us out the door, and she is always in a good mood. I feel like my son is getting the best possible treatment. My son likes Dr. Yang a lot. Dr. Yang doesn't patronize my son because he is 10. He talks to him the way he would talk to an adult. I appreciate that. So many times, doctors who work with children tend to talk down to them and don't realize a 10-year-old is not a 4-year-old. I know my son appreciates it too.

-  Michelle F.

Staff is friendly and helpful. Appointments seem to be kept on time.

-  Barbara E.

Always on time! So far so good. I feel I'm getting a better statement of treatment than with our previous orthodontist.

-  Hilary P.

Staff is awesome!! Very pleased with the professionalism and caring of the staff.

-  Helena S.

You make the process very easy, from start to finish. We are very pleased. We are extremely happy with the care that we have received. Everyone has been extremely nice and helpful.

-  Ellen T.

My children like Thomas. He is always gentle and friendly. Sally is always helpful and great at follow-up appointments. She is a major asset to the office. Sally and Thomas, they are always at their best.

-  Susan S.

My teeth are much straighter! Dr. Yang is patient, gentle and knowledgeable. Dr. Yang seems like he knows what he's doing, and he seems like he's a calm, collected guy. He's gentle and patient.

-  Risa J.

more >>

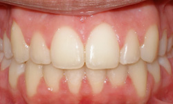
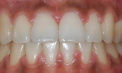
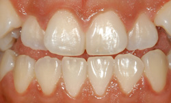
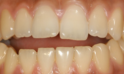
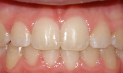
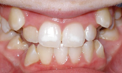
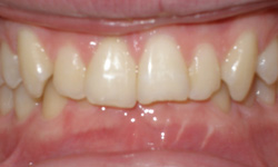
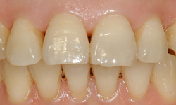
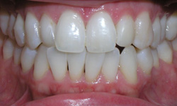
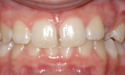
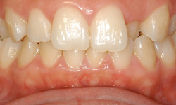
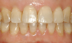
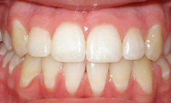
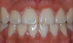
Before & After

BEFORE AFTER
BEFORE AFTER
BEFORE AFTER
BEFORE AFTER
BEFORE AFTER
BEFORE AFTER
BEFORE AFTER
BEFORE AFTER
BEFORE AFTER

The photos on this page are actual patients that Dr. Yang treated. Results may vary in individual cases.